El término enfermedad de Fahr o síndrome de Fahr es un término que a cada día que pasa se encuentra más en desuso. El caso clínico que describió Fahr y el uso que después se ha dado al epónimo no tienen nada que ver.
El caso descrito por Fahr
En 1930, Karl Theodor Fahr describió un paciente de 81 años con demencia de larga evolución que ingresó en el hospital con fiebre, tos, úlceras de decúbito e «inmovilidad sin parálisis» que falleció a los 3 días. En el examen del cerebro se observaron calcificaciones localizadas principalemente en los vasos de la sustancia blanca y en menor medida en los ganglios basales.
Fahr no fue el primero en descubrir calcificaciones en los ganglios basales. En 1850, Delacour describió un paciente de 56 años que presentaba rigidez y debilidad de las extremidades inferiores con temblor que falleció y en la exploración del cerebro se observaron calcificaciones cerebrales bilaterales.
Después de la descripción de Fahr, el término se asoció con todas las formas de calcificaciones bilaterales de los ganglios basales y de otras zonas del cerebro a pesar que no fue el primero ni describió calcificaciones importantes en los ganglios basales, con diversos síntomas neurológicos que ocurrían entre los 30-60 años y con historia familiar. Fahr tampocó refirió una historia familiar en su caso descrito.
Posteriomente, la confusión en la terminología se hizo mayor al utilizar hasta 35 nombres diferentes para describir la presencia de calcificaciones cerebrales en esas localizaciones (Bala 2005).
Con tanta confusión terminológica se tiende a utilizar un término «más descriptivo» para las calcificaciones cerebrales que tiene predilección por aparecer en el núcleo dentado y los ganglios basales: » Calcinosis estriado-palido-dentada bilateral».
Dentro de este epígrafe se tendría que separar las calcificaciones producidas a consecuencia de enfermedades neurológicas que incluyen entre sus manifestaciones el depósito de calcio en estas zonas tan peculiares de las formas idiopáticas (sin etiología conocida) y/ o familiar.
¿Qué es la Calcinosis estriado-palido-dentada familiar?
La calcinosis estriado-palido-dentada familiar (ver artículo) hace referencia a:
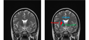
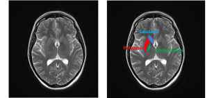
1. Calcificaciones bilaterales localizadas en el estriado (caudado-putamen), globo pálido y núcleo dentado (ver la figura 1. para localización de estas estructuras) visualizado en imágenes de TAC cerebral.
2. Síntomas neurológicos progresivos.
3. Edad de inicio en la cuarta y quinta década, aunque síntomas en edad más temprana y tardía han sido descritos.
4. Ausencia de alteraciones bioquímicas o hallazgos clínicos sugestivos de enfermedades metabólicas, mitocondriales u otras.
5. Ausencia de una causa infecciosa, neoplásica, isquémica, tóxica o traumática.
6. Historia familiar consistente con una enfermedad autosómica dominante.
¿ Cómo diferenciar las calcificaciones fisiológicas de la calcinosis estriado palido dentada ?
Las calcificaciones cerebrales fisiológicas que aparecen con la edad son pequeñas, de aspecto punteado aunque pueden confluir y limitadas al globo pálido (ver entrada). La calcificaciones que se observan en la calcinosis idiopática estriado-pálido-dentada son más extensas, afectan además del globo pálido al putamen y al nucleo dentado y son confluentes (ver esta imágenes en esta página).
¿Qué síntomas se han relacionado con la calcinosis estriado-palido-dentado bilateral?
La manifestación más frecuente son los trastornos del movimiento (55% de los casos) que un 50 % de los casos se trata de un parkinsonismo (ver definición de parkinsonismo) mientras que en el otro 50% se debe a otros trastornos del movimiento como la corea, temblor, distonía, atetosis o discinesias orofaciales. Los trastornos cognitivos son la segunda manifestación mas frecuente. Otros síntomas menos frecuentes son la ataxia y alteraciones del habla.
Los diagnósticos posibles ante una calcinosis estriado-pálido-dentado bilateral son muchísimos. Como primera aproximación habría que diferenciar aquellos relacionados con alteraciones del metabolismo del calcio. La realización de niveles sanguíneos de calcio, fósforo, función renal o niveles de paratohormona (PTH) permite diferenciar aquellas situaciones de hipocalcemia e hipercalcemia y las numerosas enfermedades asociadas.
En este artículo se describe un esquema diagnóstico para el diagnóstico diferencial de las diferentes enfermedades que pueden dar lugar a este tipo de calcificaciones.



Deja un comentario