
La ausencia o disminución de la movilidad de un lado de la cara suele ser un síntoma alarmante y una consulta muy frecuente en los servicios de urgencia. La asimetría facial es uno de los síntomas de alarma para sospechar un ictus que puede requerir un tratamiento urgente e indemorable. Académicamente se estudia que cuando afecta a la mitad inferior de la cara es de origen «central» (se produce una desviación de la comisura labial hacia el lado contralateral, el surconasogeniano se borra y el aire y alimento se escapa por la comisura bucal) y que cuando afecta a la mitad superior e inferior tiene un origen «periférico» (se añade que no se puede ocluir el ojo o arrugar la frente). La debilidad de la rama superior afecta músculo frontal y el orbicular de los ojos y la debilidad de la rama inferior afecta al orbicular de la boca. Junto con esta clasificación se ha trasmitido una idea de benignidad sobre las lesiones «periféricas».
Aunque el nervio facial en su origen es un nervio puramente motor, en su trayecto se unen fibras sensitivas, sensoriales y vegetativas aferentes y eferentes de otros núcleos del tronco cerebral. La presencia de una parálisis de la movilidad de la cara precisa de una valoración neurológica específica. Por tanto, la exploración del nervio facial debe incluir en la anamnesis y/o exploración la valoración de las alteraciones del audición (hiperacusia, los sonidos intensos son molestos), la alteración de los reflejos (corneal y de oclusión palpebral), la alteración sensitiva del pabellón auricular, las alteraciones de la lacrimación y la presencia de una disociación automática/voluntaria.
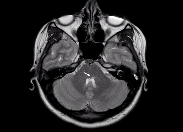
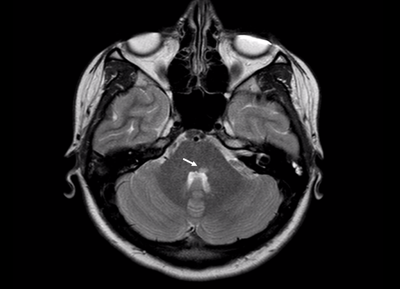
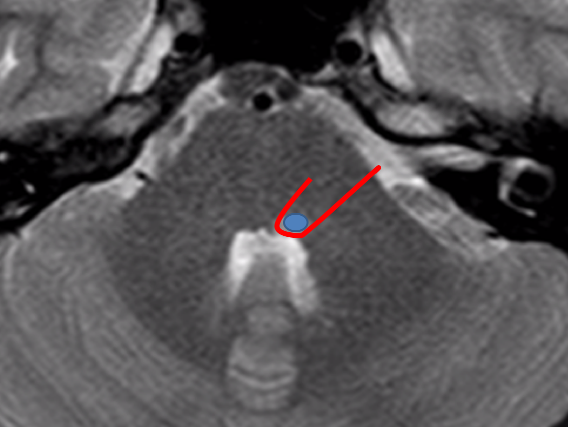
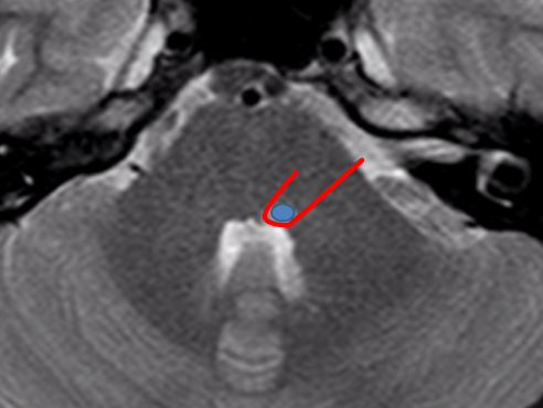
En estas imágenes se puede observar en la figura 1. una lesión localizada en el suelo del IV ventrículo, en la teórica localización del VI par craneal. El núcleo del VII par craneal se encuentra por delante e inferiormente, de ahí emergen las fibras motoras que realizan un recorrido ascendente y posterior «abrazando» al núcleo del VI par craneal. En la figura 2. en azul aparece el VI par craneal y en rojo está el «teórico» recorrido del VII facial.
En este caso el paciente acudió a urgencias para consultar por una pérdida de movilidad de la hemicara izquierda «periférica» y en la exploración presentaba una diplopía (visión doble) por afectación del VI par craneal. La naturaleza de la lesión fue inflamatoria y se diagnosticó posteriormente de Esclerosis Múltiple.


Deja un comentario