En una entrada previa comenté los síntomas que pueden producir los quistes coloides del III ventrículo. En esta ocasión presento un caso que se presentó con síntomas de hidrocefalia.

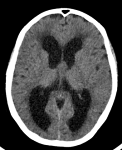
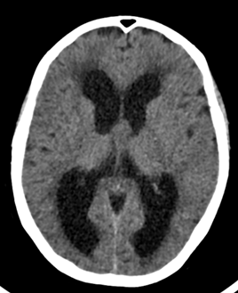
Se trata de un paciente de 63 años que comienza de forma subaguda con torpeza a la marcha y urgencia e incontinencia miccional. Acudió al servicio de urgencias donde se le realizó una TAC cerebral sin contraste (imagen 1 y 2) donde se observaba una hidrocefalia y se derivó a estudio ambulatorio con la sospecha de hidrocefalia normotensiva (imagen 2). La hidrocefalia se produce como consecuencia del aumento del líquido cefalorraquideo en el sistema ventricular cerebral o el espacio subaracnoideo.

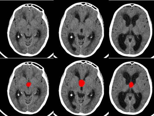
En el estudio con resonancia cerebral se puso de manifiesto la existencia de un quiste coloide del III ventrículo que había pasado inicialmente desapercibido en la TAC cerebral.

La presentación clínica de un quiste coloide del III ventrículo puede ser la misma que la de una hidrocefalia a presión normal (alteración de la marcha, incontinencia urinaria y alteración cognitiva). Los quistes coloides del III ventrículo se suelen ver en la TAC cerebral sin contraste porque en 2/3 de las ocasiones son hiperdensos pero en 1/3 de los casos como éste caso son isodensos/hipodensos y pueden pasar desapercibidos inicialmente. Además hay que tener en cuenta que cuando se introduce contraste en la TAC cerebral puede no verse tampoco. Únicamente tras la realización de la resonancia cerebral se pudo diagnosticar por su hiperintensidad en secuencias T1 (imagen 3) y su hipointensidad en secuencias en T2.
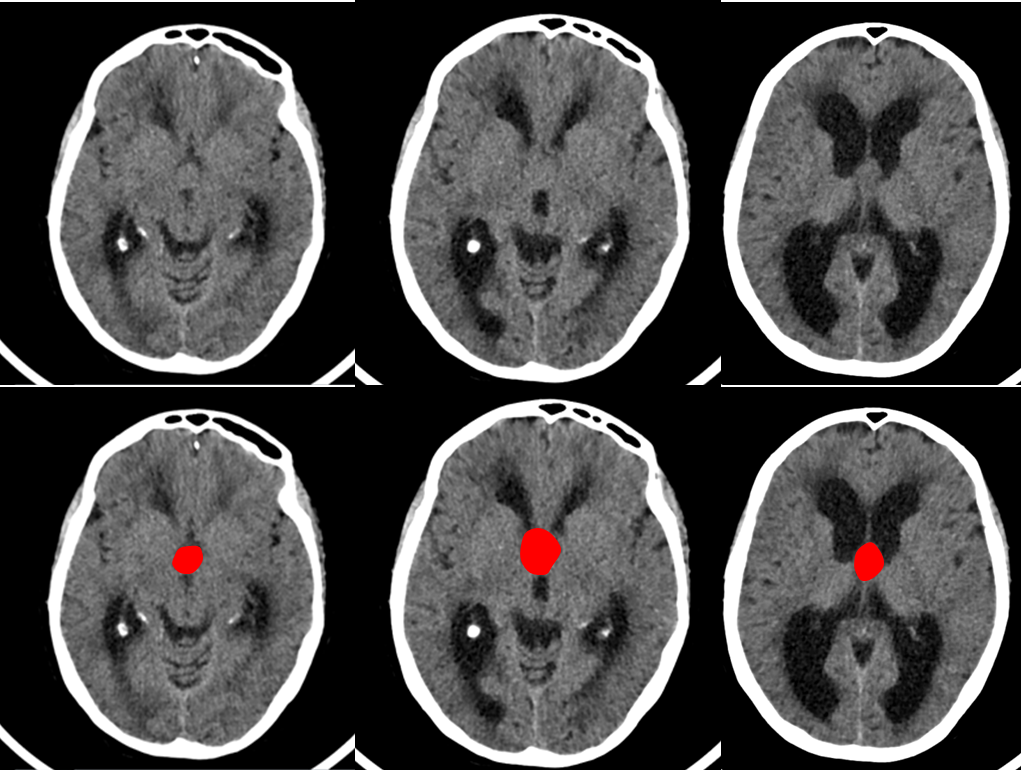
En la imagen 4 se puede intuir la presencia del quiste coloide que inicialmente había pasado desapercibido.


Deja un comentario