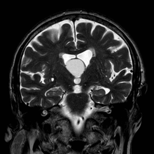
Esta imagen de resonancia pertenece a un paciente de edad media que comenzó con cefalea brusca con los movimientos cefálicos. La aparición de la cefalea en un paciente «de novo», la edad de aparición y las características de la misma me llevaron a solicitar una prueba de imagen que reveló el quiste del 3º ventrículo de la imagen de resonancia cerebral.
El quiste coloide del 3º ventrículo es una lesión intracraneal «benigna» bastante rara puesto que representa menos del 0.5% de las masas intracraneales.
Su localización es típicamente en el techo del 3º ventrículo entre ambos forámenes de Monro y los pilares anteriores del trígono.
Los síntomas del quiste coloide del 3º ventrículo son muy variables. Como en este caso, se puede decir que es bastante característica la aparición de cefaleas recurrentes que se desencadenan y alivian con los cambios de posición, con o sin datos de aumento de la presión intracraneal. Esto se atribuye porque el quiste tiene en ocasiones un pedículo que con los movimientos cefálicos puede provocar la obstrucción transitoria de uno o de ambos forámenes de Monro. Puesto que puede afectar a los pilares anteriores del trígono se ha asociado a episodios de amnesia retrógrada y anterógrada autolimitada. No es infrecuente la aparición de unos síntomas similares a la hidrocefalia normotensiva. El riesgo más temido es la hidrocefalia aguda por la obstrucción de los forámenes de Monro y la consecuente herniación amigdalar que puede dar lugar a la muerte súbita del paciente.
Dependiendo del tamaño, sintomatología y edad del paciente se puede optar por un control radiológico y clínico o bien por una extirpación del quiste, la cual se puede realizar por diferentes vías (transcallosa, transventricular, transcallosa intertrigonal o transventricular subcoroidea). Otra opción menos invasiva consiste en la aspiración del quiste mediante esterotaxia o por vía endoscopia. En cualquier caso en pacientes ancianos o con patologías concomitantes se puede optar por una derivación ventriculoperitoneal.


Deja un comentario