En esta entrada voy a presentar el caso de un paciente con infarto cerebeloso que presentó un deterioro neurológico progresivo a causa del edema cerebeloso y los hallazgos de neuroimagen.
Los dos efectos del edema cerebeloso en la fosa posterior son el desarrollo de hidrocefalia (dilatación de las cavidades ventriculares) por la compresión del IV ventrículo y la compresión y el desplazamiento directo del tronco cerebral y cerebelo que ocasiona una herniación transtentorial superior y la herniación de las amigdalas cerebelosas.
En la Imagen 1 muestro la localización normal de las estructuras cerebrales que van a estar alteradas en nuestro caso:

En la Imagen 2. podemos ver la circulación habitual del LCR. El líquido cefalorraquídeo (LCR) se produce de forma continua en los plexos coroideos que están situados fundamentalmente en los ventrículos laterales 1 (también en el III y IV ventrículo), posteriormente pasa al III ventrículo 2, después por el Acueducto de Silvio 3 pasa al IV ventrículo 4, y de ahí al espacio subaracnoideo 5 y 6 donde se dirige hacia la convexidad cerebral para reabsorberse en las granulaciones aracnoideas y pasar al sistema venoso por medio del seno venoso sagital superior 7.

Hidrocefalia aguda
En la Imagen 3 podemos ver a la presencia de un infarto cerebeloso (hipointensidad cerebelosa a la derecha, en azul a la izquierda) que produce una compresión del IV ventrículo (si la comparamos con la imagen 1 que se encuentra en rojo, en ésta desaparece). La compresión no se limita únicamente al IV ventrículo sino al acueducto de Silvio. Esto altera la dinámica del flujo del LCR, al no pasar al espacio subaracnoideo no se reabsorbe pero se sigue produciendo, lo que ocasiona la acumulación en las cavidades por encima de la obstrucción, en este caso, de los ventrículos laterales (en negro) y del III ventrículo. La hidrocefalia aguda produce una disminución de nivel de conciencia.

Herniaciones cerebrales
El otro efecto del edema cerebeloso es la compresión del tronco cerebral que ocasiona una deformación del mismo, de tal forma que desaparece la morfología normal de la protuberancia (en azul claro), el mesencéfalo (amarillo), y bulbo raquídeo. Además estas estructuras son desplazadas hacia arriba (mesencéfalo) y hacia abajo (bulbo raquídeo, cojuntamente con las amigdalas cerebelosas, ver en otra entrada la localización). Estos desplazamientos de estructuras cerebrales de un compartimento a otro es lo que se denomina como herniaciones cerebrales. El desplazamiento hacia arriba del mesencéfalo se denomina herniación transtentorial superior y hacia abajo de las amigdalas cerebelosas y bulbo raquídeo se denomina herniación amigdalina.
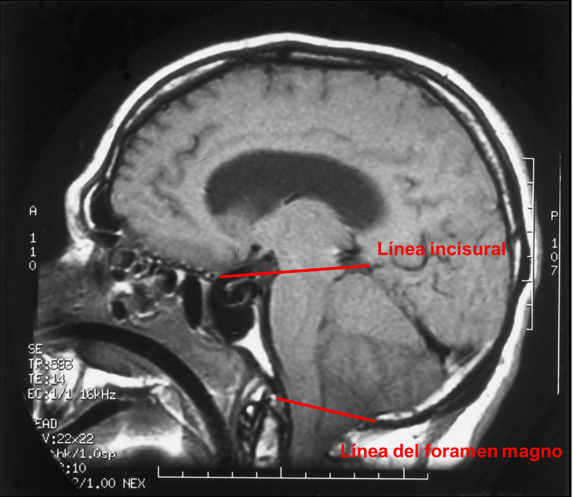
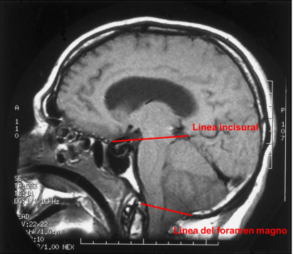
En la Imagen 4 señalo la línea incisural y la línea del foramen magno. La línea incisural es la línea dibujada desde la parte anterior del tubérculo selar hasta la confluencia del seno sagital inferior, seno recto y vena de galeno. En condiciones normales deja el mesencéfalo practicamente en su totalidad por debajo de la misma. La línea del foramen magno es la línea dibujada desde la punta inferior del clivus hasta el labio posterior del foramen magno. En condiciones normales esta línea se encuentra por debajo del bulbo raquídeo y deja las amigdalas cerebelosas por encima.

En la imagen 5 podemos ver como el mesencéfalo queda practicamente por encima de la línea incisural lo que demuestra una herniación transtentorial superior y como por debajo de la línea del agujero magno desciende parte del bulbo raquídeo y las amigdalas cerebelosas lo cual demuestra una herniación amigdalina.


Deja un comentario