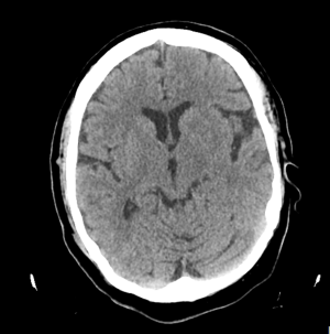
Paciente de 66 años de edad que ingresa por pérdida de fuerza súbita de extremidades izquierdas con hemiplejia derecha. En la urgencia se le realiza TAC cerebral:
A las 72 horas aproximadamente se realiza una resonancia cerebral:
Se observa una lesión isquémica con una degeneración walleriana secundaria que también se observa en las secuencias de difusión y en el mapa ADC:
A los 4 meses del ictus la paciente presenta una hemiparesia espástica muy incapacitante (momento en el que yo la valoro y reviso estas pruebas).
El motivo de presentar este caso es la presencia de una degeneración walleriana precoz que se observa en secuencias T2 coronal y la implicación pronóstica de este hallazgo.
La degeneración walleriana (DW) es una degeneración axonal y de sus vainas de mielina secundariamente a una lesión axonal proximal o a nivel de cuerpos neuronales. La DW se puede presentar tanto en el sistema nervioso periférico como central. La causa más frecuente es el infarto cerebral y el tracto más frecuentemente implicado es el tracto corticoespinal.
De una forma sencilla, la evolución de las alteraciones en la señal de la resonancia cerebral a lo largo del tracto de sustancia blanca refleja los cambios bioquímicos que ocurren durante la DW. Las alteraciones en la difusión que se muestra hiperintenso y la hipointensidad de señal en el mapa ADC sí que se han descrito en la fase aguda en la primera semana distal a una lesión por encima y son indicativas de degeneración walleriana. Serían los cambios más precoces detectables. Las alteraciones de la DW de las secuencias T2 suelen aparecer en la 3-4 semana aunque hay casos muy precoces que aparecen en las 2ª semana. Este caso es particular por el hecho que aparece precozmente.
La degeneración walleriana se ha asociado a mal pronóstico funcional en numerosos estudios.
Es importante revisar las imágenes y detectar los cambios precoces en las secuencias de difusión y mapa ADC distal a una lesión isquémica por las implicación pronóstica de las mismas.




Deja un comentario