-
Continue reading →: Cafeína y Enfermedad de Parkinson
Los estudios epidemiológicos han relacionado el consumo de cafeína con menor riesgo de desarrollo de la Enfermedad de Parkinson en comparación con aquellos que no consumen cafeína. Este mismo efecto se ha relacionado con el consumo de te pero no con el consumo de café descafeinado, por lo cual parece que…
-
Continue reading →: Bloqueo del nervio occipital mayor para el tratamiento de la cefalea
Los bloqueos de nervios periféricos se utilizan cada vez más para el tratamiento agudo y preventivo del dolor de cabeza. Estos bloqueos proporcionan alivio de dolor en diferentes tipos de cefaleas y los pacientes tratados suelen mostrar alivio durante varias semanas o meses. El bloqueo de nervio periférico más utilizado…
-
Continue reading →: Jornada sobre Enfermedad de Fabry
El próximo 28 de Septiembre se celebra en el Hospital Clínico Universitario de Valencia una Jornada sobre la Enfermedad de Fabry. En esta ocasión me han invitado a repasar brevemente (15 minutos) los aspectos neurológicos de la Enfermedad de Fabry.
-
Continue reading →: ¡No encuentro el medicamento que tomo!
¡No encuentro el medicamento que tomo! es una frase que desgraciadamente periódicamente oímos en la consulta de cualquier especialidad. La preocupación de los pacientes, como es natural, es muy importante. El motivo del desabastecimiento de un medicamento se puede deber a varias causas. Las principales causas de desabastecimiento de medicamentos se relacionan,…
-
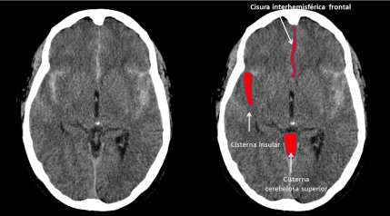
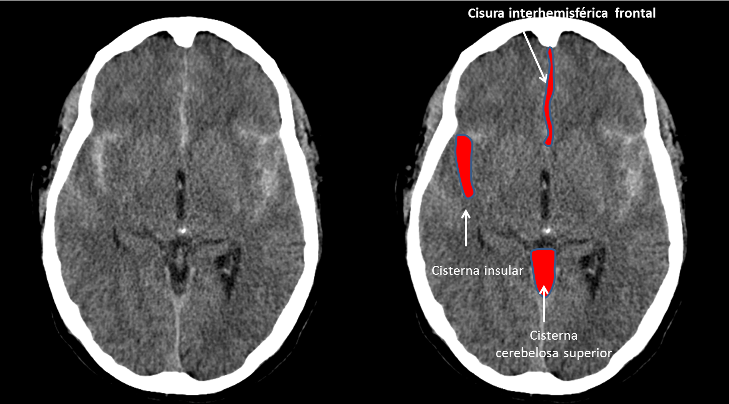
Continue reading →: Infarto cerebral talámico
La evaluación clínica de las alteraciones sensitivas es bastante más difícil que la evaluación de las alteraciones motoras puesto que está más influenciada por variables subjetivas: desde cómo expresan unos y otros pacientes las alteraciones sensitivas a la dificultad para que a pesar de una exploración sistemática y rigurosa el…
