El nervio óptico está formado por los axones de las células ganglionares de la retina que pasan a través de la lámina cribosa y forman la cintilla óptica (Figura 1)
El nervio óptico se puede dividir en tres partes diferentes para su estudio: la zona prelaminar, la zona laminar y la zona retrolaminar según su relación con la lámina cribosa. La lámina cribosa está formada por tejido conectivo y se encuentra perforada por los axones.
La zona prelaminar es la porción del nervio óptico por delante de la lámina cribosa que correspondería a la porción que es visible en el estudio del fondo de ojo. La zona laminar sería la zona donde los axones perforan la lámina cribosa y la zona postlaminar sería la zona que tras atravesar la lámina cribosa se rodea de mielina por los oligodendrocitos y por las meninges (duramadre, aracnoides y piamadre).
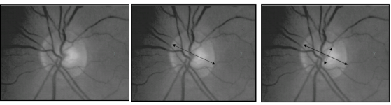
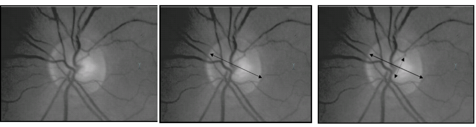
El disco óptico es la porción oftalmológicamente visible del nervio óptico que también recibe el nombre de papila o cabeza del nervio óptico (Figura 1). Se encuentra situada en el lado nasal cuando se valora el fondo de ojo.

El disco óptico tiene una forma ovalada (mayor diámetro vertical que horizontal) de unos 1.5 mm y es de color amarillento-anaranjado. En su interior se encuentra una depresión o excavación fisiológica que ocupa aproximadamente el 30-40% de la papila óptica y que se denomina copa óptica o cup (Figura 2 y 3). La relación copa/disco (cup/disc) es por tanto en torno al 0.3-0.4.

La papila en riesgo es el nombre que define una relación entre el disco óptico o papila y la excavación fisiológica menor de la habitual y que se encuentra en la mayoría de los pacientes que presentan una neuropatía óptica isquémica anterior no arterítica.
La neuropatía óptica isquémica anterior no arterítica es la causa más frecuente de neuropatía óptica aguda por encima de los 50 años de edad y la segunda causa más frecuente de pérdida visual por lesión del nervio óptico por detrás del glaucoma.


Deja un comentario