La apófisis estiloides es una prominencia alargada en la base del hueso temporal en relación con importantes estructuras vasculares y nerviosas. En su parte medial se encuentra la vena yugular interna junto con los nervios craneales VII, IX, X, XI y XII. En su porción más distal se encuentra muy cerca de la arteria carótida externa lateralmente y, medialmente, de la arteria carótida interna y el plexo simpático que la acompaña.
Los síntomas relacionados con una elongación de la apófisis estiloides o la calcificación del ligamento estilohioideo se conocen bajo el síndrome de Eagle. Watt W. Eagle en 1937 describió dos síndromes diferentes. El clásico síndrome de Eagle que aparece habitualmente en pacientes que tras una amigdalectomía comienzan con un dolor faríngeo persistente en la fosa amigdalina y que puede irradiarse al oído y aumentar con la rotación de la cabeza y una segunda forma que se denomina síndrome estilocarotídeo que se caracteriza por la compresión de la arteria carótida interna interna o externa que se puede exacerbar con los movimientos y/o compresión del cuello. Si se comprime la carótida interna el dolor puede referirse a la zona supraorbitaria y parietal y si se comprime la carótida externa se puede referir a la zona infraorbitaria.
Por otro lado, la disección carotídea se ha relacionado con una mayor longitud del proceso estiloideo, sugiriendo un mecanismo mecánico en la patogenia de la disección (ver en Neurology 2011).
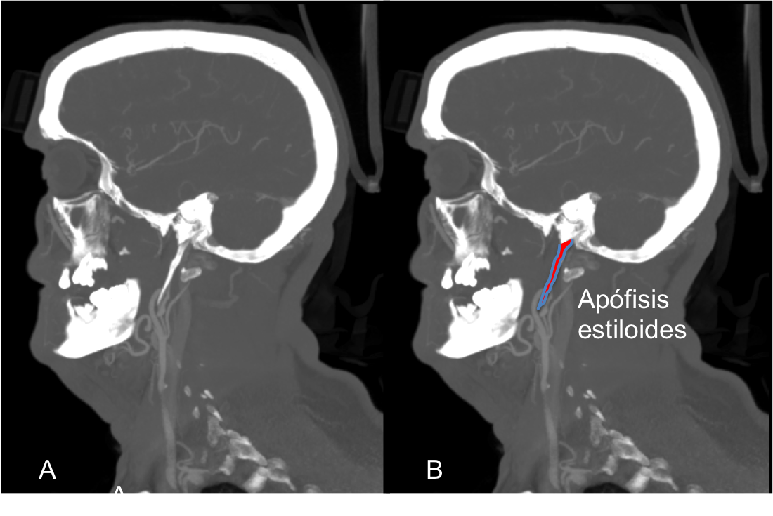
Os presento un paciente que debutó con una hemiplejía derecha y un afasia donde se observó a su llegada a urgencias en la TAC cerebral una lesión isquémica aguda en el territorio de la arteria cerebral media izquierda. En la AngioTAC de TSA se observa un cierre de la arteria carótida interna izquierda sugestivo de disección carotídea (figura 1. B flecha; en rojo porción distal de la apófisis estiloides). Posteriormente, se confirmó la presencia de hematoma intramural por resonancia cervical con secuencias T1 y T2.


En la Figura 2. se puede observar la apófisis estiloides elongada en relación con el inicio de la disección de la arteria carótida interna izquierda.

Deja un comentario