Las alteraciones de la producción, absorción y flujo del líquido cefalorraquídeo (LCR) produce cambios en la presión intracraneal (PIC). La dinámica de la circulación intracraneal la podéis ver en otra entrada. La alteración de la PIC (tanto por aumento o disminución) produce síntomas neurológicos siendo la cefalea el más común. Según la clasificación internacional de las cefaleas (ICHD-2) publicada en 2013 en el apartado 7 dentro de las cefaleas secundarias, incluye las cefaleas atribuídas a aumento de la PIC en el subapartado 7.1 y las cefaleas atribuídas a disminución de la PIC en el subapartado 7.2.
Cefalea post-punción lumbar
La causa más frecuente en la práctica clínica de cefalea por hipotensión de líquido cefalorraquídeo es la cefalea post-punción lumbar. Los criterios diagnósticos según la ICHD-2 son :
A. Cefalea que empeora dentro de los 15 minutos después de sentarse o ponerse de pie y mejora dentro de los 15 minutos siguientes a tumbarse, con al menos un de los siguientes criterios siguientes y que cumple los criterios C y D:
Rigidez de nuca
Acúfenos
Hiperacusia
Fotofobia
Nausea
B. Una punción dural ha sido realizada
C. La cefalea aparece dentro de los cinco días siguientes después de la punción dural
D. La cefalea desaparece (en el 95% de los casos): espontáneamente en una semana o en las 48 horas siguientes del tratamiento de la fuga de LCR (normalmente con un parche epidural de sangre ).
El mecanismo por el cual se produce la hipotensión de LCR se cree que es debido un fuga de LCR a través de la zona de punción de la duramadre.
Cuando se realiza una punción lumbar y existe una relación temporal entre la realización de ésta y el inicio de los síntomas, el diagnóstico es clínico y no suele presentar mayor problemas ni es necesario realizar pruebas diagnósticas en la mayoría de los casos.
Hallazgos en la resonancia cerebral en el síndrome post-punción lumbar
El LCR ejerce un efecto de amortiguación del contenido craneal que protege de traumatismos proporcionando además estabilidad mecánica y de sostén al encéfalo. Cuando el volumen de LCR disminuye el propio efecto gravitacional hace que el cerebro se desplace hacia abajo. Este desplazamiento es visible en la RNM cerebral y produce la tracción de estructuras sensibles al dolor que producen el habitual dolor de cabeza con la sedestación o bipedestación.

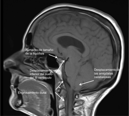
En la Imagen 1, el desplazamiento del cerebro hacia abajo produce un descenso de las amígdalas cerebelosas y del tronco cerebral que imita una Malformación de Arnold Chiari tipo I y un descenso del suelo del III ventrículo. También se observa un signo muy carácterístico que es el aumento del tamaño de la glándula hipofisaria.

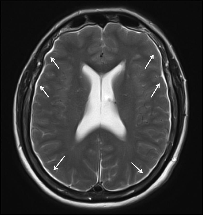
En la Imagen 2, se observan los higromas subdurales por disminución de la presión de LCR. En otras ocasiones, se pueden producir hematomas subdurales por rotura de las venas puente.

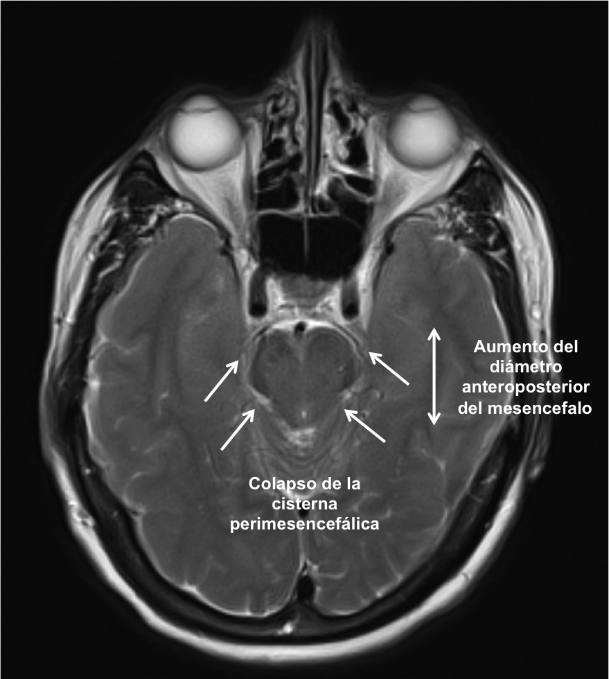
En la Imagen 3, el descenso del cerebro produce un colapso de las cisternas basales y un aumento del diámetro anteroposterior del mesencéfalo.
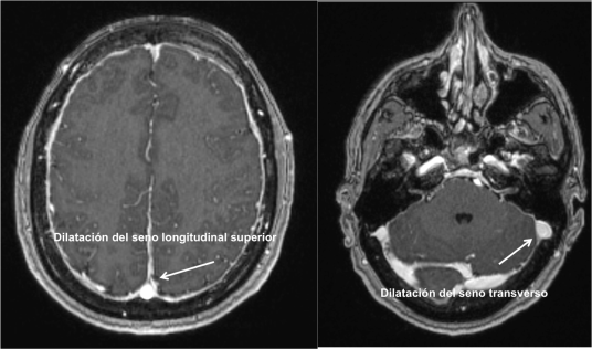
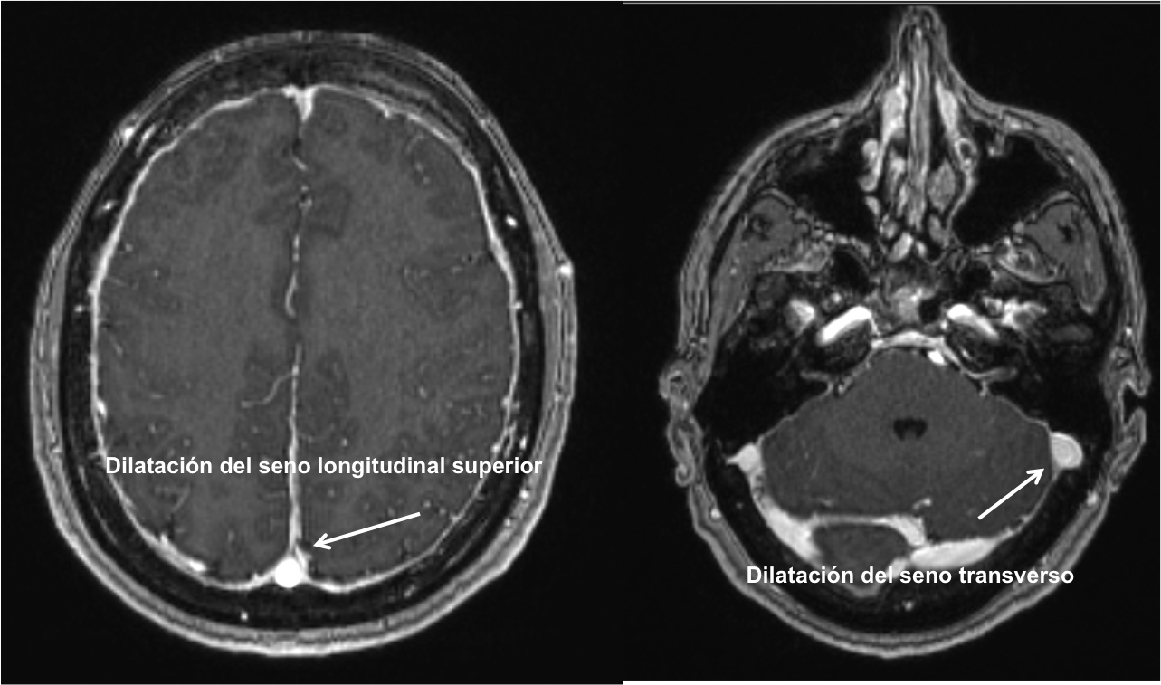
Según la hipótesis de Monro-Kellie cualquier variación del volumen de LCR debe ser compensado dado la naturaleza no compresible del cráneo. Como consecuencia, la pérdida de volumen de LCR se compensa con un aumento del volumen intracraneal y se produce una congestión venosa. Esta congestión venosa es visible en la Resonancia Cerebral y da lugar a una hipercaptación difusa meníngea.


En la Imagen 4 y 5 podemos ver el aspecto congestivo y redondeado de los senos venosos longitudinal y transverso.


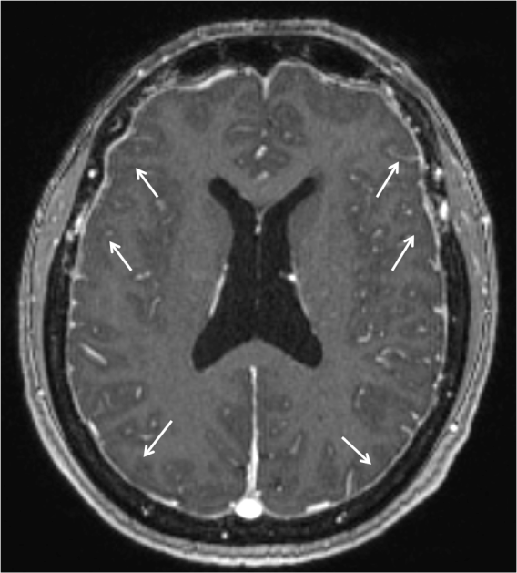
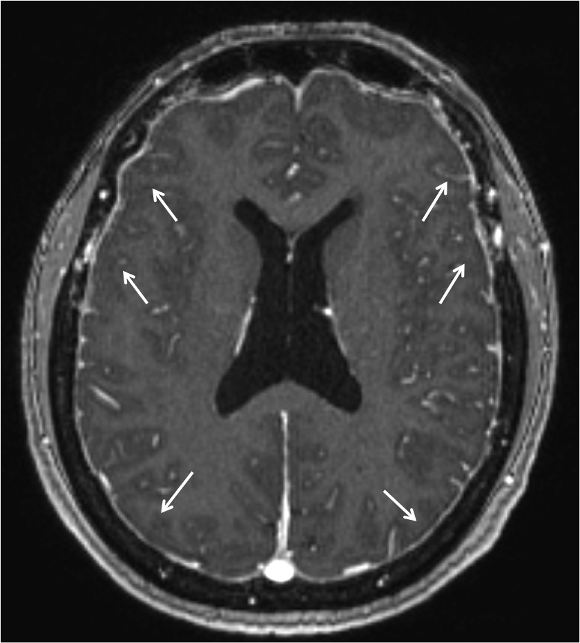
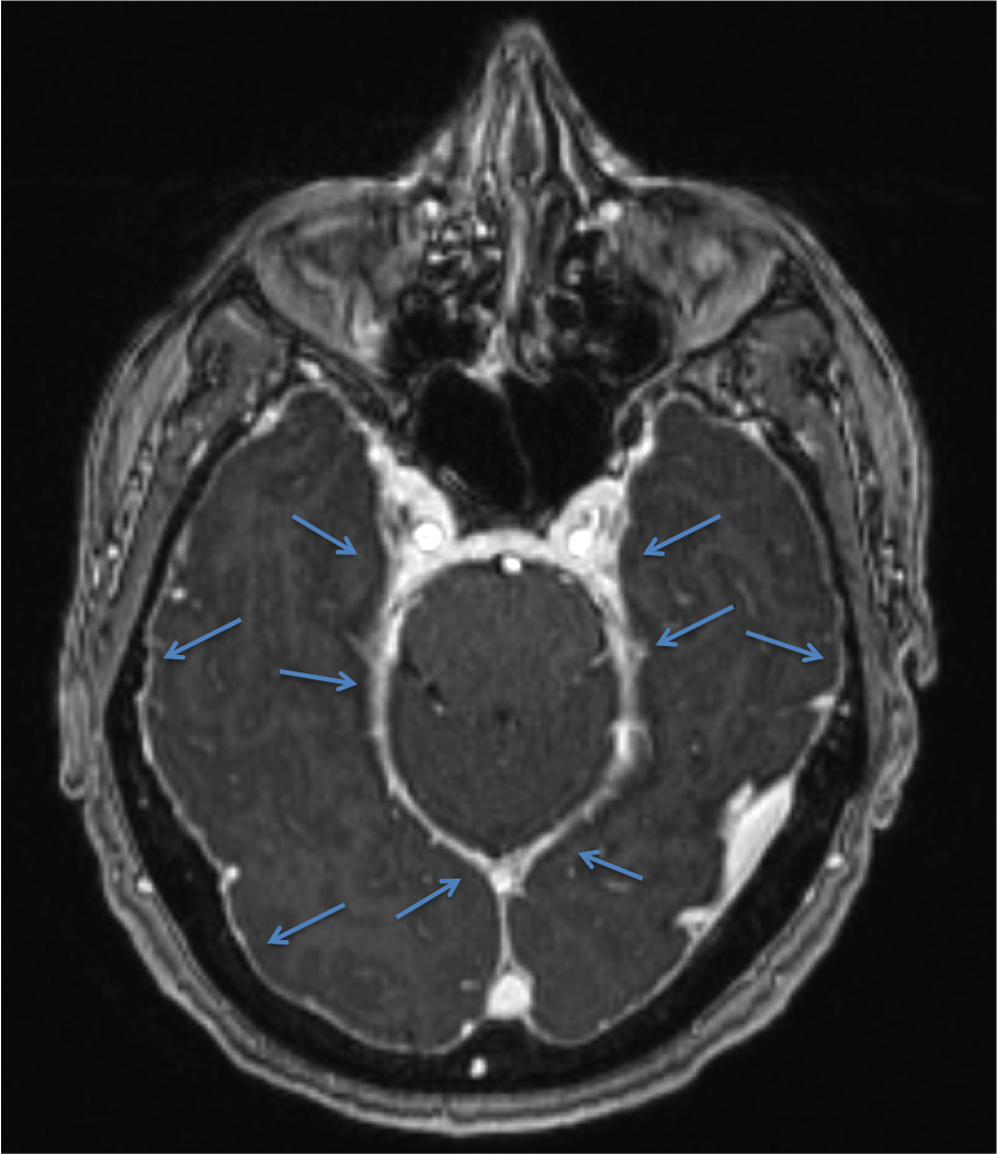
En la Imagen 6 y 7, se pude observar la captación dural de contraste que se debe a la mayor concentración de contraste (gadolinio) en la vasculatura y fluido intersticial de la duramadre. Esta hipercaptación afecta a la duramadre (paquimeninge) y no a las leptomeninges (aracnoides y piamadre) por lo que no afecta a la profundidad de los surcos corticales ni alrededor del tronco cerebral, es continuo no nodular y afecta a los compartimentos supra e infratentorial. En la Imagen 1 se observa también el engrosamiento dural sin contraste en fosa posterior y primeros segmentos cervicales.

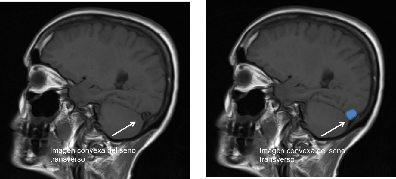
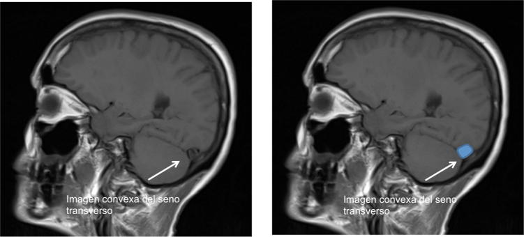
En la Imagen 8, podéis observar el signo de distensión venosa descrito en casos de hipotensión intracraneal que se refiere a un cambio de la morfología del margen inferior de la porción media del seno transverso que adquiere una morfología convexa.
Todos estos cambios que se observan en la hipotensión de LCR secundario a punción lumbar son transitorios.
Bibliografía:

Deja un comentario