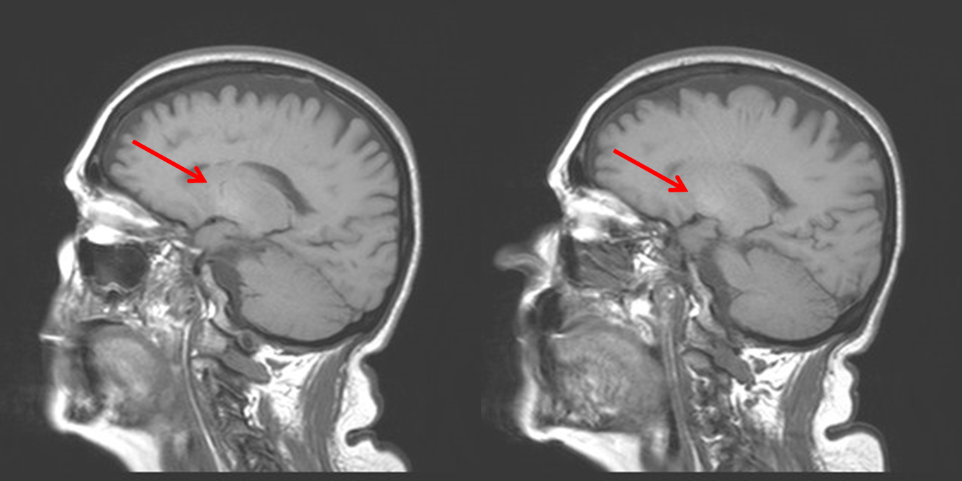
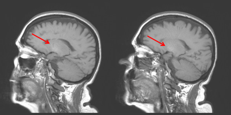
Este caso es una paciente con encefalopatía hepática aguda. En estos casos se puede observar una hiperintensidad en secuencias T1 a nivel del globo pálido (no tengo imágenes axiales) que se ha relacionado desde el punto de vista patogénico con el depósito de manganeso:
En este artículo podéis encontrar más información y los hallazgos en las diferentes secuencias de resonancia cerebral y espectroscopia.
A continuación comparto «mi chuleta» para ver cómo se observan las diferentes estructuras del cerebro en las imágenes potenciadas en T1 (para neurólogos ;-)):
Oscura (baja señal, T1 largo): LCR, Desoxihemoglobina (en los hematíes intactos), calcio, aire, edema y la mayoría de las lesiones patológicas.
Brillante (aumento de la señal, T1 corto): Lípidos, Gadolinio, Metahemoglobina (libre o en los hematíes), sustancias proteináceas, insuficiencia hepática (globo pálido), hipoxia (caudado, putamen) y tumores melanóticos.


Deja un comentario