La hemorragia cerebral tras trombólisis intravenosa es la complicación y limitación más importante de los tratamientos farmacológicos. La definición de la hemorragia tras trombolíticos no ha sido homogénea entre los diferentes estudios. En el estudio NINDS, la hemorragia sintomática fue del 6.4 % y en el estudio PROACT II del 10%. El estudio NINDS definió la hemorragia sintomática como cualquiere nueva hiperdensidad en la TAC asociado a cualquier deterioro clínico neurológica. El estudio PROACT II definió la hemorragia sintomática cuando coincidía con una dimisnución de 4 puntos en la escala NIHSS o una disminución del nivel de conciencia. El estudio ECASS III definió el infarto hemorrágico y la hemorragia parenquimatosa de la siguiente manera y desde entonces se tiende a utilizar esta clasificación:
- Infarto hemorrágico (HI): infarto con sangrado petequial sin efecto masa
HI1: pequeñas petequias.
HI2: petequias más confluentes.
- Hemorragia parenquimatosa (HP): hemorragia con efecto masa
HP1: < 30% del área del infarto con efecto masa leve
HP2: > 30% del área del infarto con efecto masa
Únicamente la hemorragia HP 2 son los que se asociaban a deterioro neurológico a las 24 horas y muerte a los 3 meses.
La hemorragia cerebral puede presentarse en la zona de isquemia que da los síntomas o en zonas alejadas de la zona de isquemia.
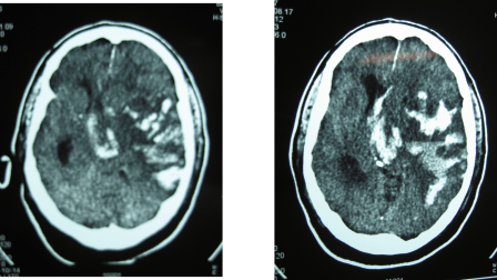
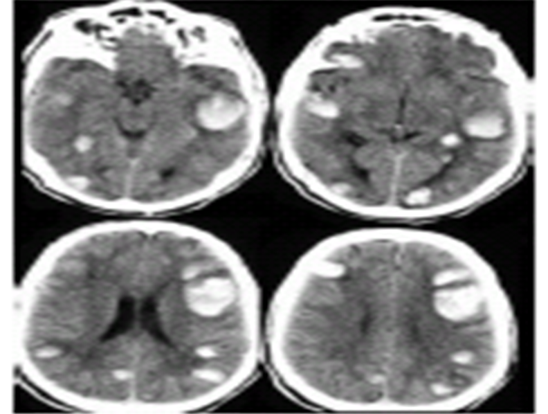
En este caso se trata de un paciente que presenta una hemorragia sintomática en la zona de isquemia con una TAC cerebral inicial normal con dos horas de evolución desde el inicio de los síntomas:
Y la TAC cerebral a las 24 horas:
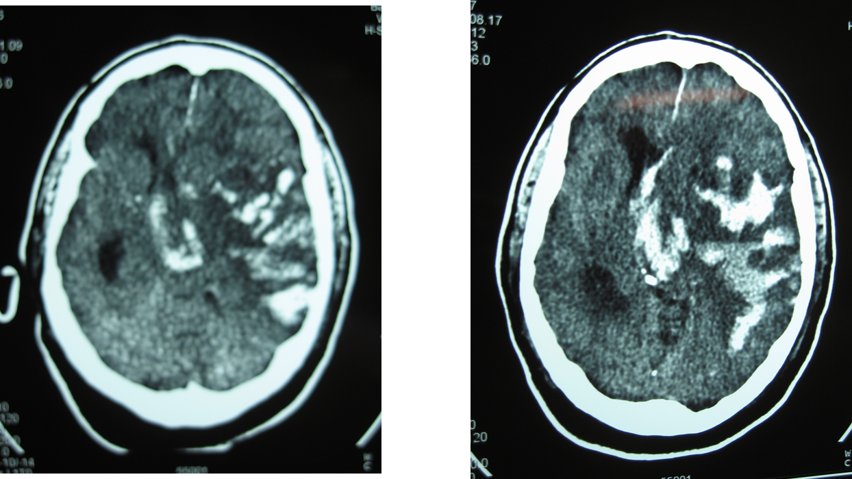
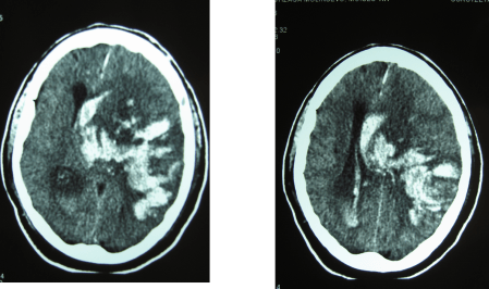
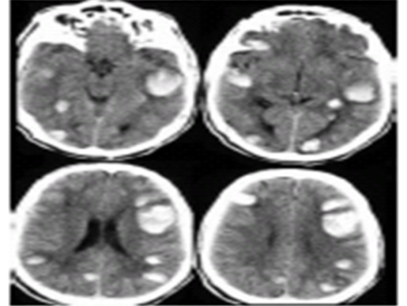
En este caso se trata de una hemorragia en el lugar de la isquemia cerebral en el territorio de la arteria cerebral media izquierda y en el contralateral:
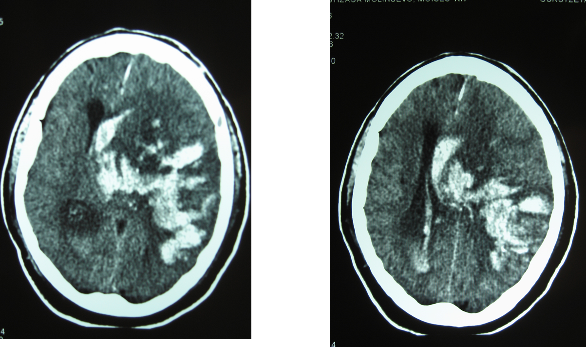
En este caso se cree que además del tratamiento trombolítico, la causa de la hemorragia cerebral puede estar relacionada con una enfermedad subyacente como la angiopatía amiloide (en este caso no se llegó a realizar una RNM cerebral).





Deja un comentario