En la anterior entrada comenté los conceptos de penumbra isquémica, infarto cerebral, y ventana terapeútica basada en un criterio cronológico y fisiopatológico. Vamos a ver un caso que tuve hace tiempo en el que no tenía acceso a la terapia endovascular que ilustra estos conceptos.

Paciente de 72 años dignosticada de hipertensión arterial que acude al servicio de urgencias a las 8:30 h de la mañana porque su marido nota una hora antes estando en la cama que su esposa no se ha levantado aún en contra de sus costumbres habituales. Al despertarla se da cuenta que no mueve bien el lado izquierdo y que habla con dificultad.  En el Servicio de Urgencias se activa el código ictus intrahospitalario y valoramos a la paciente. Presenta una clínica compatible con una lesión en el territorio de la arteria cerebral media derecha con una puntuación en la escala NIHSS de 17.

En primer lugar se realiza una TAC cerebral:

Imagen5

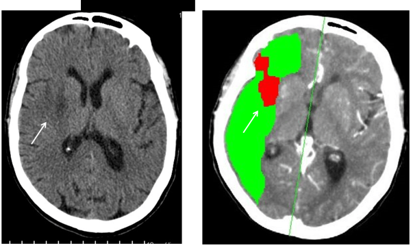
La TAC cerebral simple tiene la utilidad de descartar otras situaciones que pueden simular una ictus isquémico agudo, en la mayoría de los casos, descartar una hemorragia o una lesión ocupante de espacio. Además se pueden detectar signos precoces de isquemia cerebral como la ACM hiperdensa o el borramiento de la ínsula.

La hora del inicio de los síntomas de ictus isquémico es aquella en el que el paciente fue visto por última vez.  En este caso el día anterior a las 23:30 horas. Por tanto, se trata de un ictus del despertar

Seguidamente tras ver la TAC cerebral se realizó una tac perfusión:

Imagen2

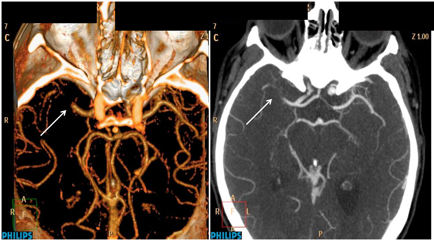
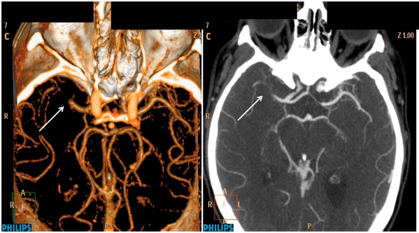
y una AngioTAC cerebral:

Imagenangiotac

El AngioTAC cerebral nos confirma la obstrucción arterial y la localización de la obstrucción arterial. Conocer la obstrucción arterial bien por angioTAC cerebral o doppler transcraneal es fundamental en la fase aguda del ictus porque podemos calcular la probabilidad de recanalización de la arteria ocluída con la administración de rtPA y la terapia inicial a elegir (este punto lo trataré en otra ocasión). En los estudios que dieron lugar a la aprobación del rtPA no era necesario conocer el lugar de oclusión para administrar el trombolítico y únicamente se precisaba una TAC cerebral que descartase otra etiología.

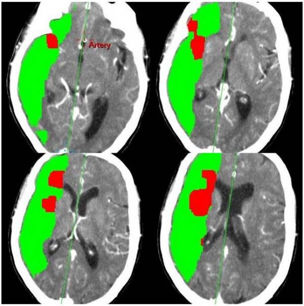
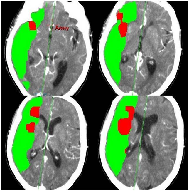
Ahora vamos a interpretar la TAC perfusión: la TAC perfusión nos da información de los siguientes valores: el tiempo de transito medio (MMT) y al pico, el volumen sanguíneo cerebral (CBV)y el flujo sanguíneo cerebral (CBF) (en la próxima entrada veremos estos conceptos).

Imagenangiotacperfusion

El tiempo de tránsito media identifica la zona de penumbra y el volumen sanguíneo cerebral un umbral de < 2ml/100 mg identifica la zona de infarto establecido. El MTT se identifica en verde y el CBV en rojo. En este caso la zona de penumbra es extensa de todo el territorio de la ACM (verde) y la zona de infarto cerebral (rojo) es de pequeño tamaño. Con esta diferencia (mismatch) se decidió iniciar tratamiento trombolítico intravenoso con rtPA.

A las 2 horas el NIHSS era de 2. A los 7 días de 0. Al año 0. Totalmente independiente. En la evolución se detecto una fibrilación auricular y se procedió a la anticoagulación sin problemas.

Imageninfarto establecido

En esta imagen podéis ver que la zona identificada como infarto en el TAC inicial se asemeja a la lesión vista en la TAC a las 24 horas y en la siguiente la recanalización de la arteria cerebral media tras el tratamiento.

Imagen angiotac normal.

Espero que este caso ilustre los conceptos de infarto cerebral y penumbra isquémica y su aplicación en la práctica clínica.

Una respuesta a «Tratamiento endovascular del ictus agudo (II)»

  1. Avatar de Laura Gren

    Thanks for sharing thiss

    Me gusta

Deja un comentario

Bienvenido a consulta de neurología