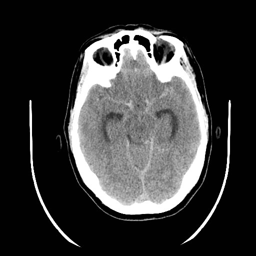
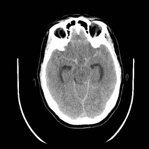
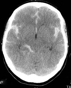
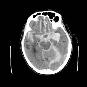
La Escala de Fisher fue propuesta para predecir el riesgo de vasoespasmo cerebral después de una hemorragia subaracnoidea. La escala asigna un valor de 1 a 4 basado en el patrón de sangre visualizado en la TAC (tomografía axial computerizada) inicial.
Grado 1- No se detecta sangre en la TAC craneal.
Grado 2- Capas difusas o verticales (fisura interhemisférica, cisterna insular,cisterna ambiens) < 1 mm de grosor.
Grado 3- Coágulos localizado o/y capa vertical > 1mm de grosor.
Grado 4- Coagulo intracerebral o intraventricular con HSA difusa o sin ella.
En esta entrada comento el artículo original de Fisher donde se describen los 4 grados con los hallazgos en angiografía cerebral.
Otras escalas utilizadas para valorar el riesgo de isquemia cerebral tardía por vasoespasmo tras HSA:



